Man-made consciousness (AI) is a nontechnical, famous term that alludes to AI of different types yet frequently to profound neural organizations. Cardiology is at the front line of AI in medication. we looked through PubMed and MEDLINE information bases with no date limitation utilizing search terms identified with AI and cardiology.
We feature the significant accomplishments as of late in practically all spaces of cardiology and highlight the mounting proof recommending how AI will become the dominant focal point in the field.
Man-made brainpower requires a nearby coordinated effort among PC researchers, clinical examiners, clinicians, and different clients in request to distinguish the most pertinent issues to be addressed.

Best practices in the age and execution of AI incorporate the choice of ideal information sources, considering normal difficulties during the translation, approval, and generalizability of discoveries, and tending to security and moral worries before definite execution. The eventual fate of AI in cardiology and in medication overall is brilliant as the cooperation among specialists and clinicians keeps on dominating Man-made consciousness (AI) is inescapable.
It autocompletes the sentences as we type, populates Google look before we complete our considerations, permits vehicles to drive themselves, empowers us to address our telephones, and supports language interpretation. In the field of medication, it has been utilized to recognize pathologic examples, consequently distinguish mammographic sores, and distinguish retinal pathology with an ability that surpasses that of prepared ophthalmologists. It has been denounced as an apparatus that will prompt gigantic joblessness what’s more, financial disturbance and as an essential existential danger to people, what’s more, simultaneously, it has been praised as a potential rescuer that will free humankind from drawn-out undertakings to empower individuals to connect with, associate, and exist on a higher plane.
Man-made consciousness is a nontechnical, well known term that alludes to AI (ML) of different sorts however regularly to profound neural organizations. In spite of the fact that there are numerous sorts of neural organizations, comprehensively talking, profound neural organizations license complex acknowledgment of unobtrusive examples in a nonlinear way utilizing models that contain many layers of information reflection and synthesis resulting in an uncanny capacity to “read” mammograms what’s more, electrocardiograms (ECGs) or perceive faces.
Albeit profound neural organizations do in reality give profound knowledge, at present it is a tight knowledge with exceptionally engaged abilities furthermore, restricted unconstrained flexibility or general insight.
GENERAL AI PRINCIPLES FOR CLINICIANS
AI A way for fostering a calculation begins with human specialists getting rules from their experience dependent on earlier information. Software engineers will then, at that point, execute these hardcoded rules to make the relationship between the info and the yield. This measure, meant as a specialist framework, depends on static information on the whole interaction furthermore, just works inside the extent of situations customized into PC. Alternately, in MLdand explicitly in regulated learningdwe utilize an overall calculation such as a neural organization to inexact a complex numerical connection between the input information and the excepted yields.
CURRENT AND FUTURE APPLICATIONS OF Artificial intelligence IN SPECIFIC AREAS
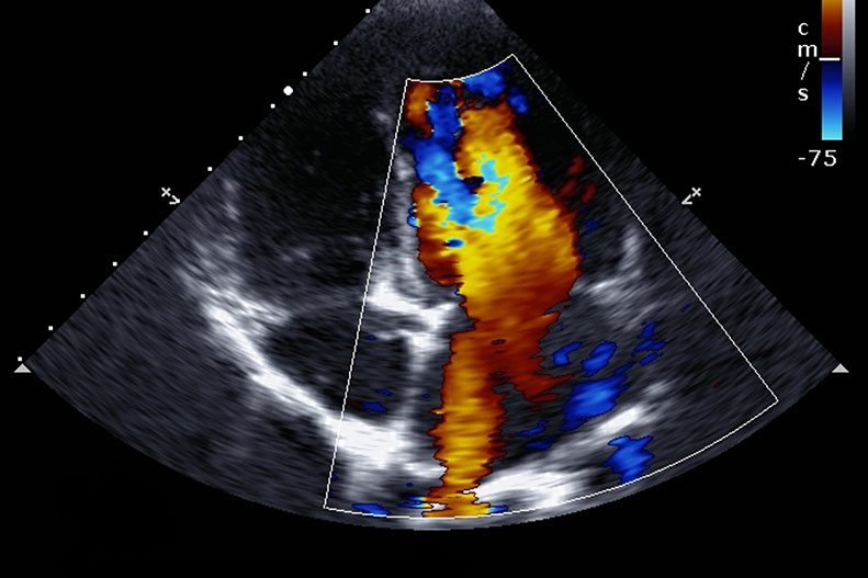
Echocardiography

Echocardiography stays the overwhelming imaging methodology for the opportune and costeffective assessment of heart structure and work. Regardless of the expanding accessibility of echocardiography for indicative and place of-care applications, there is impressive fluctuation in the availability, quality, what’s more, analytic utility of this test. The obtaining and translation of echocardiograms remains exceptionally subject to administrator experience, consequently making it a methodology overflowing with openings for expansion and normalization through AI. Given the total volume of clinical echocardiography information, there is abundant freedom for research furthermore, improvement of echocardiography AI stages. Advancements in such manner may further develop translation, normalization, what’s more, work process through computerized evaluation, recognizable proof of pathologic components (valve sickness, provincial divider movement irregularities, cardiomyopathies), and quick utilization of result information at the place of care.
The strength and prospect of echocardiography AI research is in the distinguishing proof of inconspicuous or unnoticed imaging highlights that might address subclinical sickness or show patient anticipation. Albeit the exhibition of AI models keeps on improving, recognize that AI should conquer a few significant difficulties before it very well may be applied securely in clinical practice. Likewise with any model, the quality and clinical attributes of the advancement information are essential contemplations.
Given the huge sum and intricacy of information related with an echocardiogram, a hearty echocardiography AI stage will require preparing and approval on countless concentrates on that envelop a wide scope of clinical attributes, pathologic provisions, ultrasound machine sellers, and picture quality.
Current investigations of echocardiography AI for the most part include generally little example measures that are restricted by institutional or geographic limits or even by brands of echocardiography machines, which hazards overfitting and restricting the generalizability of the subsequent stages. Moreover, echocardiography Artificial intelligence research has generally depended on human translation as the ground truth in spite of the inborn human changeability in translation also, estimation.
Artificial insight addresses an energizing freedom that is ready to upset the clinical act of echocardiography. Demonstrated echocardiography AI models will have the ability to work on quality, empower place of-care dynamic, and work with value in admittance to analytic devices. We expect that echocardiography AI will affect patient consideration, and we energetically anticipate clinical investigations that report worked on clinical results and cost-viability.

Atomic Cardiology
In contrast to different disciplines in cardiology, AI strategies have effectively been fused into a few schedules in atomic cardiology. Man-made reasoning calculations have been applied to picture preparing, permitting the capacity to perform totally programmed single-photon emanation processed tomography (SPECT) myocardial perfusion imaging (MPI) movement adjustment, remaking, tomographic angled reorientation, evaluation, and significant level investigation of the results. Popularized and US Food and Drug Administration approved picture seeing programming programs have consolidated computerized correlation with data sets of typical myocardial perfusion dispersions, giving computeraided adjunctive analytic apparatuses utilized by master perusers to distinguish hypoperfused myocardium. These kinds of computerization, alongside accessibility of computerized picture information for ML, have empowered the utilization of AI calculations utilizing SPECT MPI information, alone and in blend with clinical attributes, to additional upgrade the expectation of angiographic coronary course sickness (CAD), anticipation, as well as revascularization and to drive organized announcing and give clinical choice help (CDS) in ongoing investigations, as talked about in this way.
Improved Diagnosis. In a solitary community study, a ML calculation consolidating as it were imaging factors (perfusion deficiencies, ischemic changes, and launch part [EF] changes among stress and rest SPECT MPI by quantitative programming) beat person quantitative imaging boundaries in by and large perpatient indicative precision (86% versus 81%; P<.01).
Forecast of Treatment and Prognosis.
An Man-made intelligence approach has likewise been examined for forecast of early revascularization in patients with suspected CAD in 713 SPECT MPI examines with associating obtrusive angiography inside 90 days after the underlying MPI check.

A few consequently inferred imaging factors alongside clinical boundaries counting sex, history of hypertension and diabetes mellitus, ST-fragment discouragement on pattern ECG, ECG and clinical reactionduring stress, and post-ECG likelihood (a all out of 33 factors) were incorporated by a ML calculation to foresee revascularization occasions. Simulated intelligence Driven Structured Reporting and Cds. An AI-driven calculation has likewise been joined into the sole Food furthermore, Drug Administrationeapproved atomic imaging programming (Emory Toolbox, Syntermed Inc) to utilize a CDS device and regular language for robotized report age. The framework coordinates more than 230 standards of perfusion, reversibility, capacity, and patient segment attributes, with incorporation of extra data (if accessible) as to versus recumbent, attenuationcorrected versus noneattenuation-amended picture results, and quality control information. A review of a subset of 1000 patients approving this Artificial intelligence driven revealing framework for recognition of Computer aided design announced no huge contrast in the arrangements between the AI-driven organized report versus 9 specialists’ impressions of Computer aided design or ischemia.Although quantitative apparatuses are now utilized regularly in the act of atomic cardiology, more significant level devices consolidating numerous components and clinical information are not yet prevalent.Electrophysiology
A few significant chances to incorporate
Artificial intelligence in electrophysiology incorporate information the board (ie, how to consider the executives of huge amounts of patient information), information translation (ie, how to democratize access to master level understanding of regularly complex information), and ongoing mix of information gotten across a few modalities. Also, developing discoveries utilizing AI-improved, cost-adequately procured electrophysiologic information (eg, ECGs) recommend that the capacity to screen for disorders which are not typically associated with ECG allow scalable opportunities improving population health.
The presentation of such advanced advances as automated inserts, home observing gadgets, wearable sensors and portable applications in medical care have created critical measures of information, which should be deciphered and operationalized by doctors and medical care frameworks across divergent fields.

Regularly, such advances are executed at the patient level, with patients turning into their own makers and customers of individual information, something which prompts them requesting more customized care.
This advanced change has prompted a move away from a ‘hierarchical’ information the board procedure,
“which involved either manual passage of information with its intrinsic restrictions of precision and culmination, trailed by information investigation with generally fundamental measurable apparatuses… and regularly without authoritative responses to the clinical inquiries posited”.

We are currently in a time of a ‘base up’ information the executives technique that includes continuous information extraction from different sources (counting applications, wearables, medical clinic frameworks, and so on), change of that information into a uniform organization, and stacking of the information into a logical framework for conclusive examination.
The difficulties
This load of information, nonetheless, represent a genuine test for doctors: the test of boundless decision. As per a white paper by Stanford Medicine,”the sheer volume of medical services information is developing at a galactic rate: 153 exabytes (one exabyte = one billion gigabytes) were created in 2013 and an expected 2,314 exabytes will be delivered in 2020, meaning a general pace of increment something like 48% yearly.” With such a lot of information on the day by day choices of millions of patients about their active work, dietary admission, drug adherence, and self-checking (for example pulse, weight), to give some examples, doctors are confused with regards to which information to zero in on, to look for what, and for which wanted result?

Expanded information stockpiling, high processing force and dramatic learning capacities together empower PCs to learn a lot quicker than people and address the test of boundless decision. Computerized reasoning (AI) is the improvement of insightful frameworks, fit for taking “the most ideal activity in a given circumstance”.
To foster such insightful frameworks, AI calculations are needed to empower dynamic learning capacities corresponding to evolving conditions. AI takes various structures and is related with a wide range of ways of thinking, including theory, brain research, and rationale (with learning calculations dependent on reverse derivation), neuroscience and material science (with learning calculations dependent on backpropagation), hereditary qualities and developmental science (with learning calculations dependent on hereditary programming), insights (with learning calculations dependent on Bayesian induction) and numerical improvement (with learning calculations dependent on help vector machine).Each of these ways of thinking can apply their learning calculations for various issues. In any case, these calculations are generally not wonderful in tackling every single imaginable issue, and none have arrived at a degree of ‘genius’ that will actually want to foresee, analyze and give proposals for treating complex ailments. In any case, when ably joined – and gave they are taken care of the proper information to gain from – these calculations can create what has been known as a ‘ace calculation’, which might actually take care of considerably more intricate issues than people can.
Positive effects
AI can decidedly affect cardiovascular illness forecast and finding by creating calculations that can demonstrate portrayals of information, a lot quicker and more effectively than doctors can. For instance, right now, a doctor who wishes to foresee the readmission of a patient with congestive cardiovascular breakdown needs to screen a huge yet unstructured electronic wellbeing record (EHR) dataset, which incorporates factors like the International Classification of Diseases (ICD) charging codes, medicine medicines, research center qualities, physiological estimations, imaging studies, and experience notes. Such a dataset makes it incredibly hard to choose deduced which factors ought to be remembered for a prescient model and what kind of techniques ought to be applied in the actual model.
Such prescient models can be delivered with ‘regulated learning’ calculations that require a dataset with indicator factors and marked results.
For instance, a new report researched the prescient worth of an AI calculation that “consolidates dot following echocardiographic information for robotized segregation of hypertrophic cardiomyopathy (HCM) from physiological hypertrophy seen in athletes”.9 The review’s outcomes showed a positive effect of AI calculations in aiding “the separation of physiological versus neurotic examples of hypertrophic rebuilding… for mechanized translation of echocardiographic pictures, which might assist fledgling perusers with restricted experience”.A separate arrangement of calculations utilized in cardiology are called ‘solo learning’ calculations, which center around finding stowed away designs in a dataset by investigating connections between various variables.For model, one review explored the utilization of such learning calculations to distinguish fleeting relations among occasions in EHR; these transient relations were then analyzed to survey whether they worked on model execution in anticipating starting determination of heart failure.Thus, results from unaided learning calculations can take care of into administered learning calculations for prescient modelling.A third arrangement of calculations are support learning calculations, which “learn conduct through experimentation given just information and a result to optimize”.Designing dynamic therapy regimens, for example, dealing with the paces of re-intubation and managing physiological solidness in concentrated consideration units, is one region where the use of support learning calculations might hold incredible potential.Potential adverse consequences

Clearly, the expected advantages of AI in cardiology are huge. Be that as it may, such advantages are not without challenges. To begin with, there are clear advantages for further developing work efficiency. There are as of now less doctors to really focus on a consistently expanding maturing population.AI can uphold, as opposed to supplant doctors, creating time-and cost-saving advantages for themselves as well as their patients, and empowering more merciful and exhaustive connections. Nonetheless, as more errands become robotized, there are conceivable outcomes that less doctors will be needed to work, or that less will do as such on a full-time premise, since many undertakings could be conveyed through stages by low maintenance, specialist doctors. This might affect the connection between patients, doctors and authoritative staff in medical services systems.Second, as examined prior, AI calculations can look over bigger volumes of wellbeing information empowering quicker recognizable proof of prescient, analytic, just as therapy alternatives for various cardiovascular illnesses. This feeds into the current interest for more customized care. Simultaneously, be that as it may, numerous patients now express the requirement for more straightforwardness about the sorts of information shared, what it’s identity is utilized by and for what reason. With the General Data Protection Regulation (GDPR) presently in full power across Europe, there are significant ramifications for the security and protection of information that AI calculations need to continue to advance. The new outrage including Google DeepMind and the Royal Free London NHS Foundation Trust, which prompted the exchange of recognizable patient records across the whole Trust without express consent,is a case to be stayed away from. The engineering of the computerized foundation supporting AI and AI across various areas and among applications and stages should be cautiously designed,in request to keep up with the security and protection of medical care information.
Past the issue of looking for assent before any entrance and utilization of information, there are likewise issues around the straightforwardness of algorithmic targets and results (how accomplish calculations work and why) and of the responsibility for the expected abuse of information. As a new report has called attention to, educated assent by all potential patients may not generally be conceivable in view of the manner in which information are shared across stages and for various purposes; algorithmic straightforwardness, despite the fact that looked for, might be hard to accomplish due to the powerful learning and advancement of calculations; and responsibility for information use might bring up testing moral issues if in the end such information use prompts further developed patient outcomes.5 What makes a difference the most is the clinical viability of calculations and their utilization of information.
At last, albeit both AI and doctors can make mistakes in their clinical judgment, either on account of not having seen a specific case previously or due to awful preparing, in joining the two – AI and human mastery – the quantity of clinical blunders can be diminished. In this unique circumstance, there are openings for returning to the preparation of individual doctors, just as multi-disciplinary groups, to figure out how to cooperate with AI. We accept this is of principal significance and new approaches ought to be created towards an improved and upgraded preparing of doctors, which will likewise empower more successful and effective clinical judgment.
This is not the End
Taking everything into account, it is significant that we abstain from setting ‘misrepresented expectation’ on the possible effect of AI, yet additionally not to fall casualties of ‘overstated dread’ since we can’t relate to the technology.
“The genuine risks of AI are the same as those of different antiques in our way of life: from manufacturing plants to promoting, weapons to political frameworks. The risk of these frameworks is the potential for abuse, either through inconsiderateness or vindictiveness, by individuals who control them.”

Man-made reasoning May Accelerate Heart Failure Diagnosis
A normal ECG upgraded by computerized reasoning is greater at distinguishing cardiovascular breakdown than a standard blood test.
Man-made consciousness improved electrocardiogram (ECG) might have the option to precisely distinguish cardiovascular breakdown in patients being assessed in the ER for windedness, as per a review distributed in Circulation: Arrythmia and Electrophysiology.
The technique could distinguish diminished heart work more precisely and rapidly than standard blood tests, the review found.
In a commonplace year, about 1.2 million individuals go to crisis divisions since they are encountering windedness, analysts expressed. This year, those numbers are a lot higher in light of the fact that trouble breathing is a significant indication of COVID-19. At the point when suppliers presume a patient is having heart issues, they typically play out an ECG, a 10-second recording of the heart’s electrical action.
“A strange ECG raises worry about basic heart irregularities however are not explicit for cardiovascular breakdown,”
Demilade Adedinsewo, MD, MPH, lead creator of the review and boss individual in the division of cardiovascular medication at Mayo Clinic in Jacksonville, Florida.
ED doctors likewise depend on blood levels of natriuretic peptides. At the point when cardiovascular breakdown is available, these biomarkers are raised in the blood, however these biomarkers are additionally impacted by age, corpulence, kidney illness, serious contamination, aspiratory hypertension, and strange heart rhythms.

Man-made brainpower Can Help Radiologists Diagnose Lung Disease
Man-made reasoning devices could assist radiologists with grouping the seriousness of lung illness and track treatment progress.
Utilizing man-made consciousness innovations, radiologists could increase their capacity to impartially assess and treat lung illness, as per a review distributed in the American Journal of Roentgenology.
Lung conditions like persistent obstructive pneumonic illness (COPD) are very pervasive in the US and all throughout the planet, analysts noted. Emphysema, a kind of COPD, is described by the extremely durable overinflation of the terminal bronchioles and the obliteration of bronchial dividers.
Suppliers can assess the pathologic difference in emphysema with quantitative CT filters by estimating the low-lessening volume (LAV) of the lung. In any case, diagnosing and ordering the seriousness of emphysema is a troublesome, unstandardized assignment, and sweeps of harmed lungs have as of late become supportive to radiologists.
“Everyone has an alternate trigger limit for what they would call typical and what they would call infection,”
U. Joseph Schoepf, MD, overseer of cardiovascular imaging for MUSC Health and aide dignitary for clinical examination in the Medical University of South Carolina College of Medicine.
“Previously, on the off chance that you lost lung tissue, that was it. The lung tissue was gone, and there was almost no you could do as far as treatment to help patients.”
Ongoing advances in therapy have acquired an expanded interest impartially characterizing emphysema, which is the place where man-made reasoning and clinical imaging could have a critical effect.
“Man-made consciousness is quickly entering the area of radiology, and AI-based calculations likely could be appropriate for undertakings, for example, design acknowledgment on chest CT pictures,” specialists said. “Moreover, these calculations might save time, decrease fluctuation, improve objectivity, and be really quantitative, making a benefit over manual and semiquantitative techniques.”

Leave a comment